首页 > 新闻资讯 > 院内新闻 >
近日,南通六院胸外科团队成功为一位高龄患者实施了高难度的单孔胸腔镜右肺中叶肺癌根治术,助其闯过“难关”。老人出院前,家属特意送来一面写有“高龄手术创奇迹,医德双馨暖人心”的锦旗,表达对团队精心治疗与悉心护理的诚挚谢意。

当高龄遇上肿瘤:一场艰难的抉择
83岁的高老伯在体检中发现,右中肺有一个肿块,高度怀疑恶性肿瘤,手术是最佳治疗方案。老人年事已高,视力、听力均有障碍,且合并多项基础疾病,身体能否耐受手术治疗成为一大难题;但倘若放弃手术,肿瘤的持续生长与扩散不仅会让老人承受巨大痛苦,更可能直接危及生命。面对这一艰难抉择,家属经过多方打听、慎重考虑后,来到南通六院胸外科寻求希望。

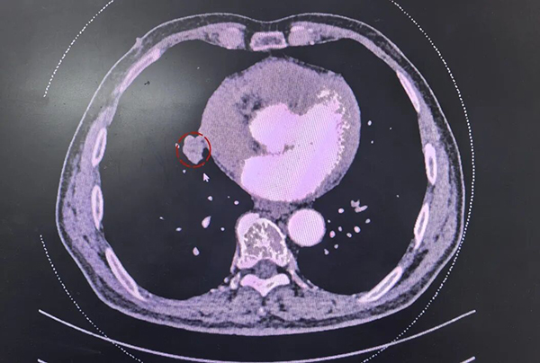
胸外科主任张雪冬接诊并为老人安排住院,完善相关检查,增强CT显示,老人右中肺存在一枚约2.8厘米的实性肿块,靠近肺门。经综合评估,老人的心肺功能及全身状况达标,无手术禁忌,可耐受单孔胸腔镜手术治疗。
面对家属的担忧与犹豫,张雪冬主任耐心、坦诚地解释:“高龄并非手术治疗的‘绝对禁区’。老人符合胸腔镜微创手术条件,手术目前对他来说是最佳选择,我们会精心准备,全力保障他的安全。” 专业且恳切的讲解,让家属打消了顾虑,给予医护团队充分信任。
多学科护航与微创攻坚:闯过高龄“禁区”
面对 “高龄禁区”,胸外科团队迎难而上,立即请心内科、ICU、麻醉科、康复医学科等多学科开展会诊,围绕老人的病情、手术风险、应急预案等进行了深入讨论,为其量身定制了个体化、全方位的手术及围手术期管理方案。同时,通过专项的术前呼吸功能训练等措施,进一步强化老人的肺功能。
在麻醉科的严密监护与支持下,胸外科团队为高老伯实施了单孔胸腔镜右肺中叶肺癌根治术。术中探查证实,病情比术前评估更为复杂:肿瘤已侵犯周围淋巴结并发生气道转移,且与中肺静脉关系密切,给操作带来挑战。张雪冬主任沉着冷静,凭借丰富的临床经验、过硬的心理素质和娴熟的微创技术,精准彻底切除了肺部病灶及区域淋巴结。术后病理报告最终确诊为中分化鳞状细胞癌。

在胸外科病房,医护康一体化团队无缝衔接,为高老伯提供精心照护。通过有效咳嗽指导、肺复张训练等关键措施,并辅以精准的排痰与镇痛管理,老人的肺功能得到了有效恢复,已于日前顺利出院。
“肺癌在老年群体中高发,我们在接诊过程中,像高老伯这样的高龄肺癌患者并不少见。”张雪冬主任介绍,“关键在于个体化地把握好手术指征,通过科学的评估、完备的手术方案,筑牢坚实的安全屏障,让年龄不再是手术的障碍。”在他看来,胸外科团队在高龄复杂肺癌微创手术领域的不断突破,正是为了回应更多老年患者的迫切需求,这背后离不开医院技术实力、多学科协作模式以及“以患者为中心”理念的强大支撑。未来,科室将继续深耕不辍,以更精湛的技术和更优化的流程,为患者提供更安全、更高效、更微创的诊疗服务,点亮更多老年人的希望之光。
